1 of 9

Slide Notes

DownloadGo Live

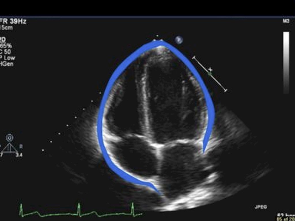
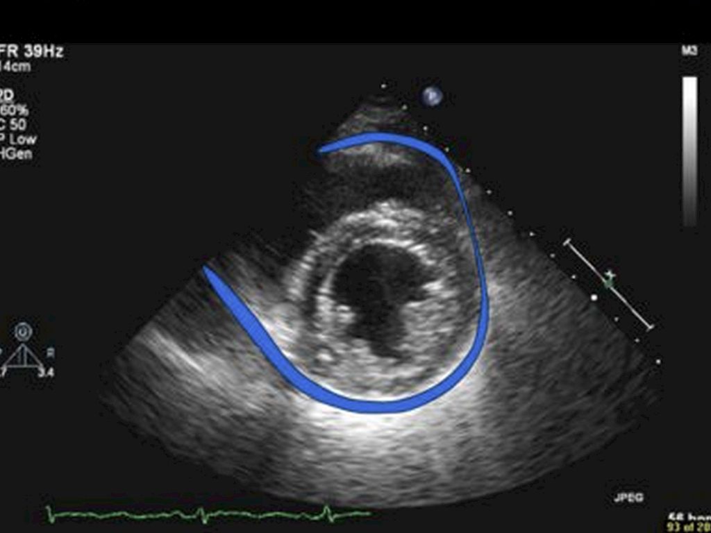
Pericardial effusion

Published on Nov 18, 2015

No Description

PRESENTATION OUTLINE

Pericardial effusion

Dametria sparrow
Photo by Connor Tarter

What?
Pericardial Effusion is an abnormal amount of fluid between the heart and the pericardium, which is the sac surrounding the heart. Pericardial effusions are associated with many different medical conditions. Most pericardial effusions are not harmful, but large pericardial effusions can cause problems by impairing heart functions.

Untitled Slide

Untitled Slide

Untitled Slide

WHY?
Most pericardial effusions are caused by inflammation of the pericardium, a condition called pericarditis. As the pericardium becomes inflamed, extra fluid is produced, leading to a pericardial effusion.

WHO?
Studies have shown the prevalence of pericardial effusion in patients with HIV infection ranges from 5-43%, but mostly cancer patients.





Photo by geezaweezer

symptoms

  • Chest Pain
  • Low-grade fever
  • Increased heart rate
  • Muscle aches
  • nausea

TREATMENT
- the excess fluid may be either rich in protein (exudate) or watery (transudate). These two categories help physicians determine the best way to treat the cause of a pericardial effusion

Photo by epSos.de