TEACHERS
GALLERY
PRICING
SIGN IN
TRY ZURU
GET STARTED
Loop
Audio
Interval:
5s
10s
15s
20s
60s
Play
1 of 19
Slide Notes
Download
Go Live
New! Free Haiku Deck for PowerPoint Add-In
Título
Share
Copy
Download
0
5
No Description
View Outline
MORE DECKS TO EXPLORE
PRESENTATION OUTLINE
1.
DIAGNOSTICO
Photo by
Nanagyei
2.
Untitled Slide
3.
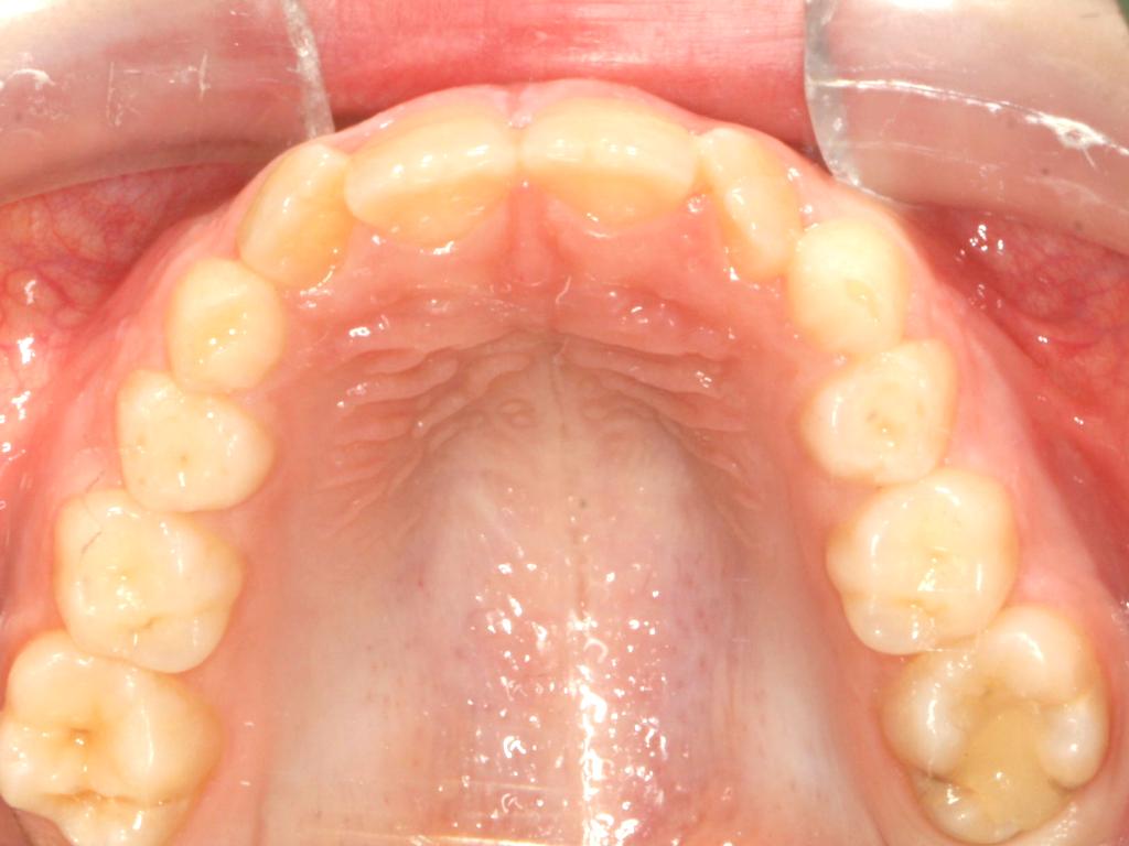
PANORAMICA
Dentición permanente completa
Photo by
W
4.
Untitled Slide
5.
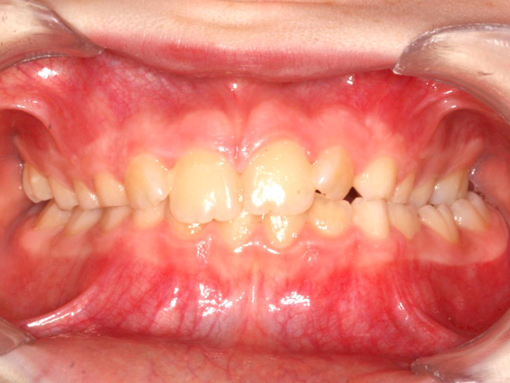
LATERAL
Angulacion dental vestibular
Lateralidad por posición dental
Photo by
Darwin Bell
6.
Untitled Slide
7.
Untitled Slide
8.
Untitled Slide
9.
Untitled Slide
10.
Untitled Slide
11.
Untitled Slide
12.
OBJETIVOS
Photo by
Pawel Czerwinski
13.
Untitled Slide
Descruzar mordida lateral
Con aparato removible
El uso del aparato deberá ser de 15 horas mínimo al día
Hay opción aparato fijo
Photo by
W
14.
Untitled Slide
15.
Untitled Slide
16.
TIEMPO
6 meses
En la opción fijo puede ser menos tiempo
Photo by
Krystal Ng
17.
SEGUNDA ETAPA
Photo by
Krystal Ng
18.
Untitled Slide
19.
EXPANSION GENERAL
Al terminar el descruzar la mordida
Un año a dos para segunda etapa
Photo by
Pawel Czerwinski
Jennifer Martínez
https://www.facebook.com/app_scoped_user_id/1440668402908775/
×
Error!